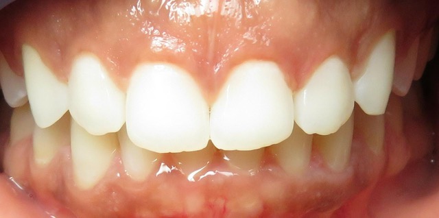
Many patients step into our practice with dreams of a brand new grin. Others are looking to repair damage and get their oral health back on track. Seeing these individuals walk out of our doors with a strong smile and newfound confidence is the reason behind our mission here at Diversey Dental Studio. No matter your goals, we’re honored to be a part of your oral health journey. Take a look at our Before & After gallery to explore real patient stories!













"I like to treat patients as I would a family member or a friend." — Dr. Rodriguez